




Cardio AI Health
- Imaging.
- Intelligence.
- Education.
Where Education Meets Innovation
Register now to join the program
Who We Are
cardioAI.health is a premier cardiac imaging education academy pioneering the integration of artificial intelligence with comprehensive cardiac imaging training. Based in the Middle East, we serve healthcare professionals across the region with cutting-edge education and advanced technologies.
Our academy combines traditional medical education excellence with cutting-edge AI technologies, enabling healthcare imaging environments to meet the unique demands both fundamental understanding and revolutionary approaches to solving imaging the problems and analysis.
From education-CT essentials to advanced multimodality imaging, we provide structured and cohesive that equips with rigorous standards, international recognition and expertise with training by Level III mentors.
Our Mission
Our Vision
Why Education Matters
Stay at the forefront of cardiovascular imaging with continuous, cutting-edge training.
Improve diagnostic accuracy and patient outcomes through AI-powered imaging insights.
Expand your expertise from cardiac CT to MRI and PET, broadening your clinical impact.
Program Overview
- Available Now
Level 1
Cardiac CT Essentials
One-Day Workshop
Date:
April 2, 2026 (Dubai)
- Coming Soon
Level 2
Advanced Cardiac CT
Multi-Modal Training
Launch:
October 2026
Price:
$2000 (~AED 7340)
- Available Now
Level 1 + 2
Bundle
15% discount
Price:
$1900 (~AED 6249)
Meet our team
Meet Our Team
We’re proud of the warm, patient-friendly environment we’ve created! Our clinic is founded on the principles of patient-centered care, where your comfort and oral health are our top priorities.
Dr. Firas Albadrin
Cardiologist
Cleveland Clinic Abu Dhabi
Dr. Aimen Smer
Cardiologist
Cleveland Clinic Abu Dhabi
Dr. Ahmed Sami Abuzaid (Sami)
Cardiologist
Alaska Heart Institute
Dr. James Thompson
Radiologist
SimonMed / VA Healthcare
Dr. Shone Almeida
Cardiologist
University of South Florida
Dr. M. Al-Akchar
Cardiologist
Northwestern University
Dr. Kashif Shaikh
Cardiologist
University of Tennessee
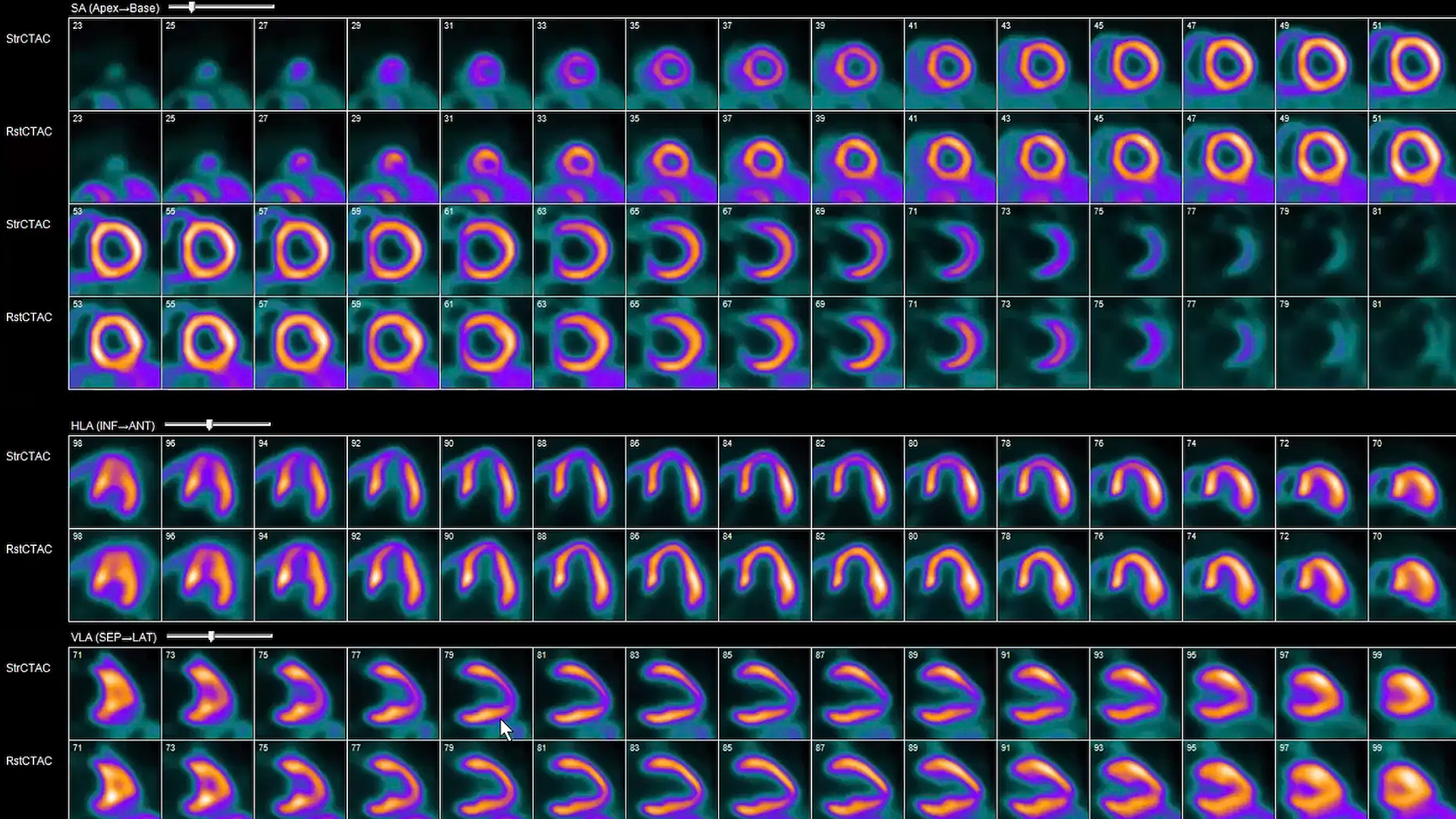
Imaging Highlights
Strategic Map
Vision
To be the premier Middle East platform for cardiac imaging education and AI integration—shaping the future of cardiovascular diagnostics and patient care.
Mission
Deliver world-class education in cardiac CT today, and multimodality imaging (MRI, PET, echo) tomorrow.
Integrate artificial intelligence into training and practice to accelerate adoption of next-generation tools.
Build a collaborative ecosystem of clinicians, educators, and innovators.
Advance regional capacity in cardiovascular imaging to global standards.
Strategic Pillars
Education & Certification
- Structured Level 1 and Level 2 courses in CT, with future expansion into MRI and PET.
- Partnerships with leading societies (SCCT, SCMR, ASNC, ACC) to align with global accreditation standards.
AI Integration & Innovation
- Embed AI tools into curricula: coronary plaque analysis, automated CMR, CT-FFR, PCI planning.
- Position CardioAI as the gateway for AI adoption in cardiac imaging across the region.
Regional Outreach & Partnerships
- Collaborate with ministries of health, hospitals, and academic centers.
- Deliver hybrid education: UAE-based workshops combined with digital learning to scale impact.
Sustainability & Growth
- Multi-stream revenue: courses, sponsorships, AI vendor partnerships, consulting.
- Grow a global faculty network and expand into tele-imaging consulting services.